How do I update my carrier settings for cricket?
How do I update my carrier settings for cricket? Manual Configuration Tap the Settings icon (on the homescreen or in Apps). Tap Mobile Networks. Tap Acces...
How do I update my carrier settings for cricket? Manual Configuration Tap the Settings icon (on the homescreen or in Apps). Tap Mobile Networks. Tap Acces...
What are the advantages of using animations rather than static models to demonstrate the processes involved in cell division? Animation can have advantage...
Can the public play Pine Valley? Well, you can. Each year, Pine Valley Golf Club in New Jersey opens its gates to the public on the final Sunday in Septem...
Who is the most famous French playwright of the 17th century? Molière Molière, original name Jean-Baptiste Poquelin, (baptized January 15, 1622, Paris, Fr...
What do they mine at McArthur River? zinc We are located on one of the world’s largest deposits of zinc and lead, about 970 kilometres south-east of Darwi...
When was Lyndon Johnson in the White House? Presidency of Lyndon B. Johnson Presidency of Lyndon B. Johnson November 22, 1963 – January 20, 1969 Cabinet S...
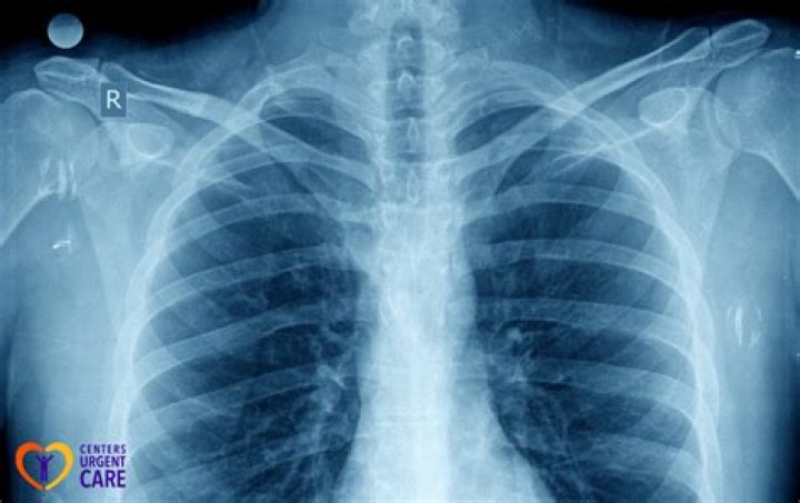
Do organs show up on X-rays? X-rays use beams of energy that pass through body tissues onto a special film and make a picture. They show pictures of your ...
How do I get the old YouTube layout? How to Go back to the Old YouTube Layout on PC? Go to Press the combination key CTRL+SHIFT+I, and then you will see a...
Who is Ahla Malik? Madonna’s boyfriend Ahlamalik Williams is a dancer and choreographer. The 27-year-old from Sacramento, California, moved to Las Vegas a...
How do steroids cause fluid retention? Causes of Prednisone Weight Gain Salt and potassium: Prednisone causes the body to hold on to sodium (salt) and los...
What is a 300 amp fuse used for? 300 Amp Fuse is used as a replacement for the FBL-300.It is provided with a semi conductor fuse and is guaranteed to term...
Do dentists still recommend flossing? Despite reports that flossing may be “overrated,” the American Dental Association (A.D.A.) and the US Department of ...